Learn More About Premier

We are dedicated to providing exceptional dental care with a focus on implants, dentures, and restorative dentistry in Garden City, Georgia.
Welcome to Premier

Why choose us

At Dr. William Verrillo’s practice, we combine advanced dental technology with compassionate care to deliver outstanding results. Our team is committed to helping you achieve optimal oral health through comprehensive treatment options, including dental implants, dentures, and general dentistry services in a welcoming environment.

Meet Dr. William Verrillo

Dr. William Verrillo is a dedicated dentist who’s passionate about providing excellent patient-centered clinical care with warmth and compassion. He’s committed to delivering the highest quality dental solutions so patients can achieve optimal oral health without the stress and uncertainty often associated with dental treatment.

Dr. William Verrillo brings extensive training and clinical excellence to his practice in Garden City, Georgia. Originally from Albuquerque, New Mexico, Dr. Verrillo has deep family roots in Savannah on his mother’s side and New England on his father’s side. Growing up, he spent summers at his family home on Tybee Island and always wanted to return to Georgia after receiving his dental degree.

Dr. Verrillo’s pursuit of clinical excellence began early when he was accepted to the prestigious Creighton School of Dentistry after just two years of undergraduate study at the University of New Mexico. The acceptance rate for early acceptance was only 0.08%. At Creighton, he went beyond standard general dentistry education and graduated with advanced standing in endodontics, having served as a teaching assistant for endodontic labs and completed root canals using advanced dental microscopes and cutting-edge techniques.

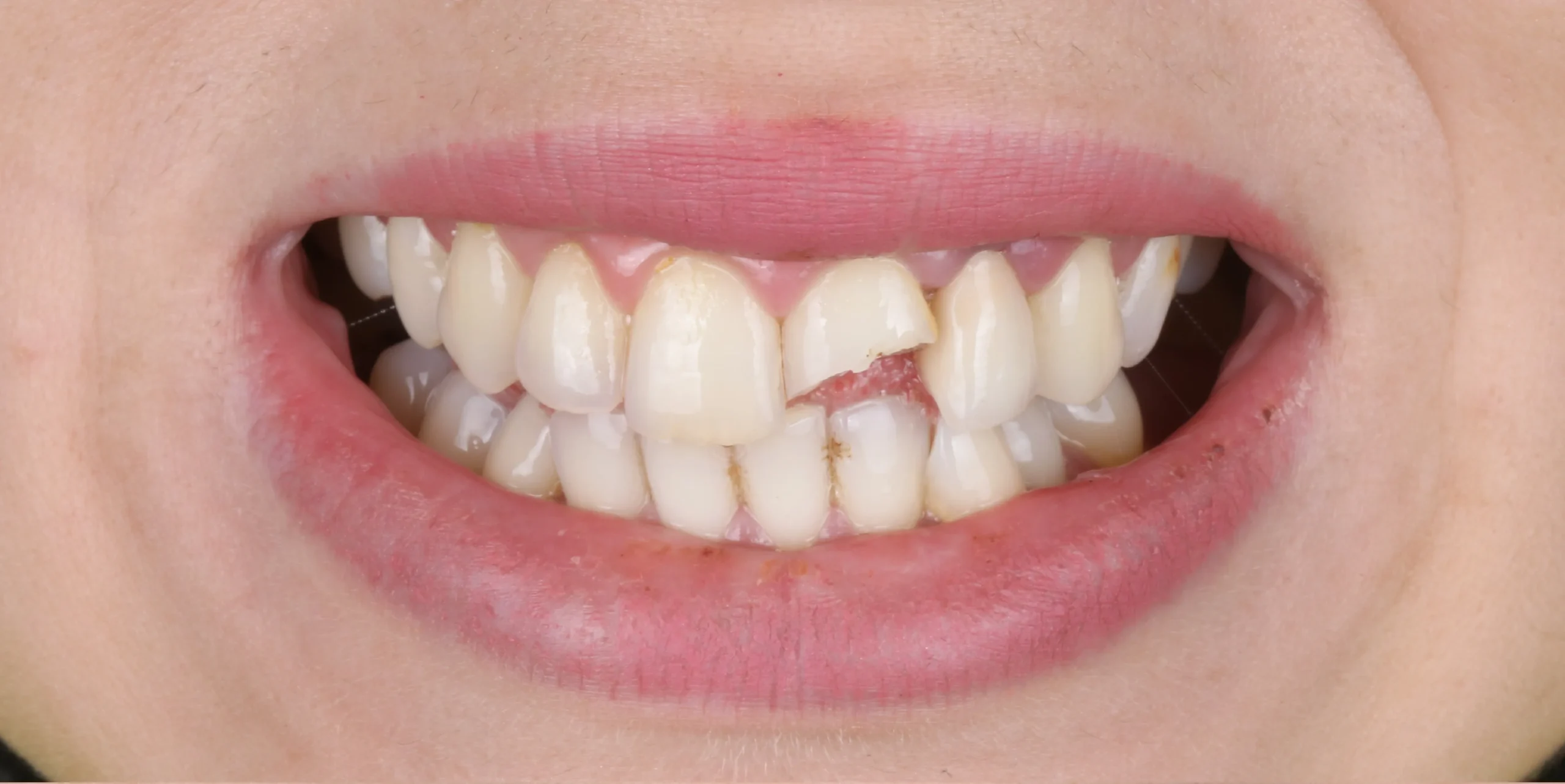
Smile Transformations

Teeth Whitening + Veneers

Before
After

Teeth Whitening + Veneers

Before
After

Teeth Whitening + Veneers

Before
After

Teeth Whitening + Veneers

Before
After

Teeth Whitening + Veneers

Before
After

Teeth Whitening + Veneers

Before
After

Frequently Asked Questions

Do you accept my insurance?

We accept most major insurance plans, including Delta Dental, Cigna, and Medicare. Our team will verify your benefits and help maximize your coverage.

What should I expect at my first visit?

Your first visit includes a comprehensive examination, digital X-rays, and a consultation to discuss your treatment options and answer any questions you may have.

Do you offer payment plans?

Yes, we offer flexible payment options, including CareCredit financing to help make your dental care affordable and accessible.

How do I handle a dental emergency?

For dental emergencies, please call our office immediately. We reserve time in our schedule for urgent situations and will see you as soon as possible.

Book Your Appointment Today

Schedule a Visit — It’s Easy

From your first consultation to your ongoing care, we’re committed to providing you with exceptional dental services in a welcoming environment.

Find Us Near You

Address

Give us a call

oPENING HOURS

Monday – Friday: 8:00 AM – 5:00 PM
Closed Alternate Mondays and Fridays